ИНТЕРНИСТ

Общественная Система
усовершенствования врачей

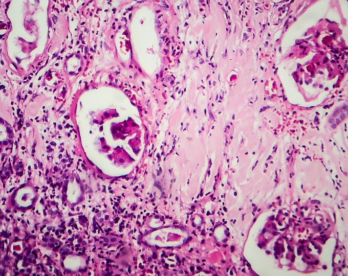
Протеинурия не определяет исходы волчаночного нефрита
ПУБЛИКАЦИИ

Протеинурия не определяет исходы волчаночного нефрита

Целью исследования было ценить как исходный уровень протеинурии отражается на исходах люпус-нефрита (волчаночный нефрит). 

Методы

В исследовании приняли участие 239 пациентов с гистологически подтвержденным волчаночным нефритом. В зависимости от исходного уровня протеинурии пациентов разделил на 2 группы: <1 г /24 ч vs. ≥1 г/24 ч. 

Авторы исследования оценивали частоту ответа на терапию на 26 и 52 недели и предикторы снижения на 30% и 40% скорости клубочковой фильтрации к 156 неделе. 

Результаты

  • Среди 239 пациентов у 17,6% уровень протеинурии составил <1 г /24 ч.
  • У пациентов с протеинурией <1 г наблюдалась более низкая частота мочевого осадка, более высокая частота класса V и более низкий индекс активности почечной патологии.
  • Частота общего ответа на терапию на 26 и 52 недели не зависела от уровня протеинурии. 
  • Уровень протеинурии не оказывал влияние на вероятность снижения скорости клубочковой фильтрации на 30% и 40% к 156 неделе.
  • Гломерулосклероз выступал независимым предиктором долгосрочного снижения почечной функции у пациентов с рецидивирующим волчаночным нефритом, но не у пациентов с впервые выявленным волчаночным нефритом.

Заключение

У пациентов с волчаночным нефритом низкая протеинурия не ассоциирована с лучшими исходами и большим ответом на терапию, чем у пациентов с высокой протеинурией.

Гломерулосклероз выступал независимым предиктором долгосрочного снижения почечной функции у пациентов с рецидивирующим волчаночным нефритом.

Источник: Shen, Y., Peng, J., Dai, D., Dai, M., Li, T., Chen, S., Ye, S., Shen, N. and Ding, H, Low-Grade Proteinuria Does Not Predict Favorable Outcomes in Lupus Nephritis: A Longitudinal Cohort Study. Arthritis Rheumatol. 2026.

(0)